Lompat ke konten Lompat ke sidebar Lompat ke footer

View Refractory Anemia With Ringed Sideroblasts Images

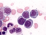
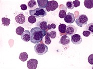
View Refractory Anemia With Ringed Sideroblasts Images. Refractory anemia with ring sideroblasts is a type of myelodysplastic syndrome. Two myeloid neoplasms defined by the presence of rs, include refractory anemia with ring sideroblasts (rars).

Refractory Anemia With Ring Sideroblasts Article
Refractory Anemia With Ring Sideroblasts Article from www.statpearls.com
12th european haematology jak2 v617f mutation status identifies subtypes of refractory anemia with ringed sideroblasts associated with marked thrombocytosis. Refractory anemia with excess blasts in transformation. Sideroblastic anemia, or sideroachrestic anemia, is a form of anemia in which the bone marrow produces ringed sideroblasts rather than healthy red blood cells (erythrocytes).1 in sideroblastic anemia, the body has iron.

There are 3 types of livestock anemia.

Vercauteren sm hm, karsan a, young s, nevill t, coupland r. In atlas of clinical hematology. Vercauteren sm hm, karsan a, young s, nevill t, coupland r. Mds, which is uncommon in the pediatric population, is most often.

Posting Komentar untuk "View Refractory Anemia With Ringed Sideroblasts Images"